Даже здоровым людям нельзя резко нагружать организм в мороз — это может спровоцировать остановку сердца.
Балаковские кардиологи напоминают об опасности интенсивной физической нагрузки на морозе."Холод в сочетании с интенсивной физической активностью является мощным стрессовым фактором, вызывающим спазм сосудов и повышение потребности миокарда в кислороде", — объяснили в Региональном сосудистом центре Балаковской городской клинической больницы.
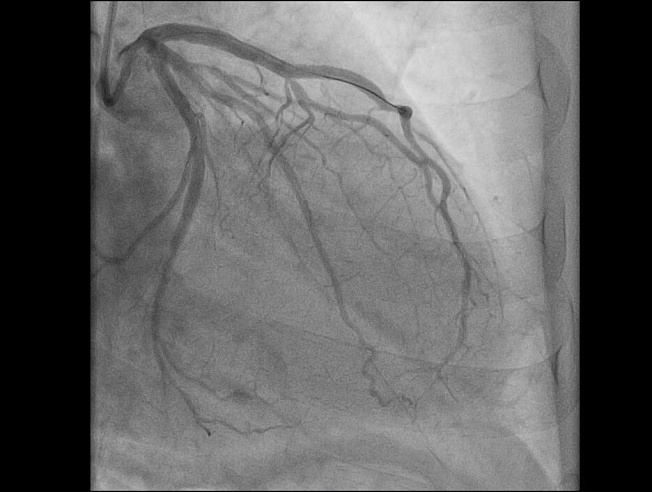
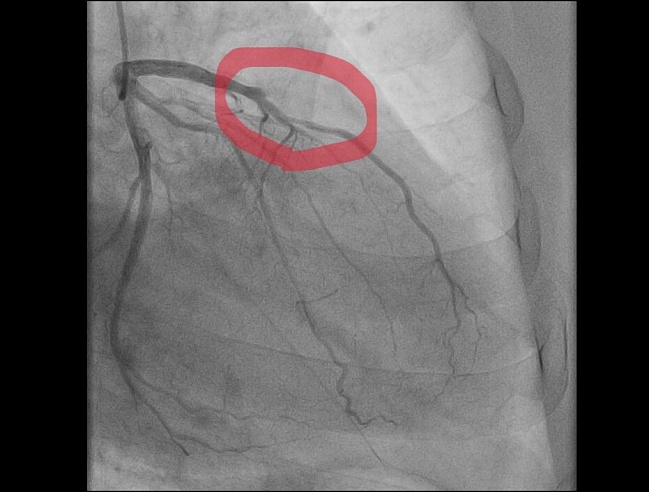
Недавний клинический случай балаковских медиков - яркий пример коварности сочетания физнагрузки и мороза: 59-летний мужчина почувствовал острую боль в груди во время уборки снега. Бригада "скорой" диагностировала "острый инфаркт миокарда" и немедленно начала лечение. Пациента доставили в сосудистый центр, где выявили тромботическую окклюзию передней межжелудочковой артерии* — сосуда, который в медицинской среде называют "артерией вдов" из-за высокого риска летального исхода при ее поражении. Операционная бригада балаковских медиков провела экстренное стентирование, полностью восстановив проходимость артерии.
После операции пациент прошел лечение в реанимационном и кардиологическом отделениях, в итоге он был выписан.
"Этот случай наглядно демонстрирует необходимость дозированной физической нагрузки, особенно при сложных погодных условиях и сильном морозе. Перегрузка в сочетании с холодовым спазмом может привести к катастрофическим последствиям", — подчеркнул заведующий отделением рентгенохирургических методов диагностики и лечения БГКБ Алексей Струбалин.
*Опасное состояние, при котором один из главных сосудов сердца забивается тромбом, и из-за этого может случиться инфаркт.
Все важные новости — в канале «Саратов 24» в мессенджере МАХ
Подписывайтесь на saratov24.ru